Skip Label

Elementary Lesions

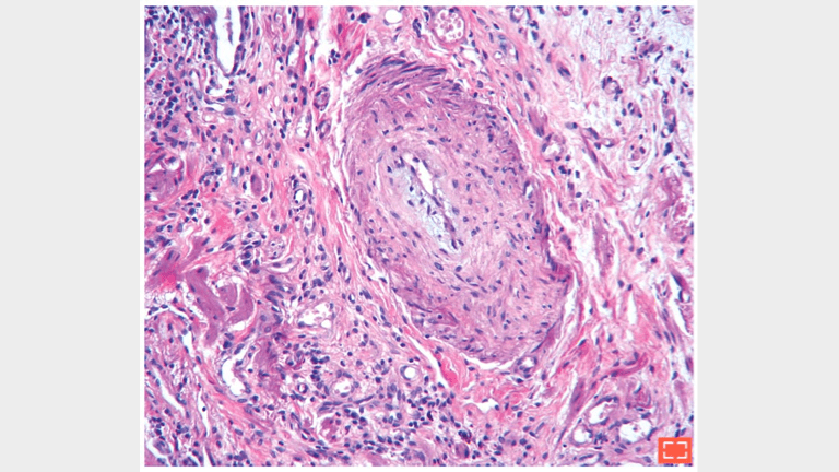
Vascular changes

Characteristics

  • Reductions of the vascular lumen

  • Marked intimal and medial hyperplasia in this artery

  • Sometimes complete luminal occlusion

1. Vascular changes

Vascular changes
Vascular changes

2. Vascular changes

Vascular changes
Vascular changes

Hypertensive arterial lesion.

3. Vascular changes

Vascular changes
Vascular changes

Reduction of the vascular lumen in fibrotic area.