Skip Label

Elementary Lesions

Intralobular reticulations (lines)

Characteristics

  •  Small linear or curved intralobular opacities measuring less than 10 mm forming an irregular reticulation

  • They can be isolated or associated with other signs 

Diagnostic Orientation

  • If the intralobular reticulations are posterior and inferior subpleural reticulations

    • Usual interstitial pneumonia (UIP, probable UIP, indeterminate for UIP, alternative diagnosis of UIP) / Connective tissue disease (CTD)

    • Nonspecific interstitial pneumonia (NSIP)

    • Desquamative interstitial pneumonia (DIP)

  • If intralobular reticulations are associated with ground-glass opacity

    • Hypersensitivity pneumonitis (HP), alveolar proteinosis

1. Intralobular reticulations associated with ground-glass opacity

1. Intralobular reticulations associated with ground-glass opacity
1. Intralobular reticulations associated with ground-glass opacity

Diffuse ground-glass opacities in the lower posterior lungs with intralobular reticulations and traction bronchiectasis, no honeycombing.

2. Intralobular reticulations

 

Intralobular reticulations
Intralobular reticulations

Marked intralobular reticulations in the 2 lung bases without honeycombing. Note the relative lung savings immediately under pleura, pointing to a NSIP.

3. Intralobular reticulations

3. Intralobular reticulations
3. Intralobular reticulations
  • Isolated and subtle subpleural intralobular reticulations and traction bronchiectasis of the 2 lower lobes.
  • No ground-glass opacity or honeycombing.

4. Intralobular reticulations

4. Intralobular reticulations
4. Intralobular reticulations
  • Isolated and subtle subpleural intralobular reticulations.
  • No ground-glass opacity or honeycombing or traction bronchectosis.

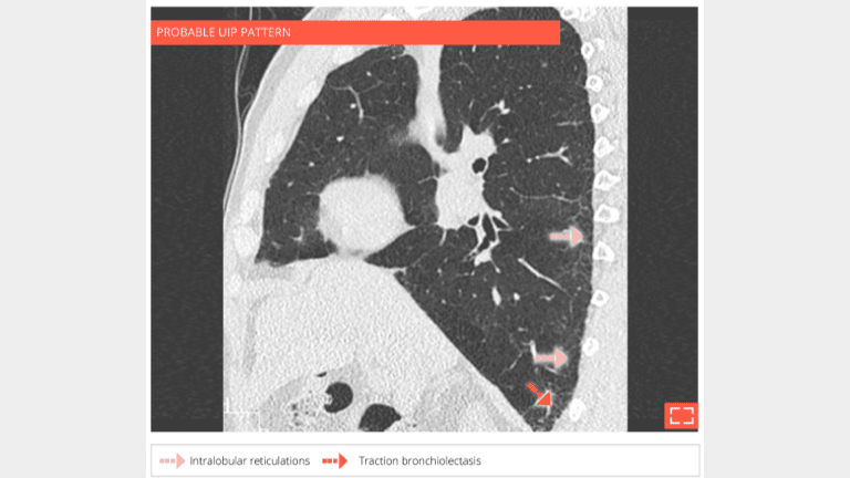
5. Intralobular reticulations

5. Intralobular reticulations
5. Intralobular reticulations
  • Isolated and subtle intralobular reticulations, with traction bronchiolectasis.
  • No ground-glass opacity or honeycombing.