Skip Label
Boehringer Ingelheim
Boehringer Ingelheim
Boehringer Ingelheim
Boehringer Ingelheim
Boehringer Ingelheim
Boehringer Ingelheim
  • Home
  • Chest CT
    Chest CT

    • Chest CT
    • CT diagnosis criteria for UIP
      • Elementary lesions
      • Go to this section
      • Interlobular septal thickening
      • Intralobular reticulations (lines)
      • Ground-glass opacity
      • Ground-glass opacity with crazy paving pattern
      • Mosaic attenuation pattern
      • Consolidation
      • Micronodulation
      • Cysts
      • Honeycombing
      • Traction bronchiectasis/ bronchiolectasis
    • HCRT Techniques
  • Histopathology
    Histopathology

    • Histopathology
    • Surgical Lung Biopsy Technique
      • Elementary lesions
      • Go to this section
      • Patchwork pattern
      • Architectural distortion
      • Honeycomb change
      • Fibrosis
      • Bronchial epithelial metaplasia
      • Smooth muscle hyperplasia (I)
      • Smooth muscle hyperplasia (II)
      • Vascular changes
      • Fibroblast focus
    • Histopathological diagnostis criteria for UIP
Boehringer Ingelheim

Elementary Lesions

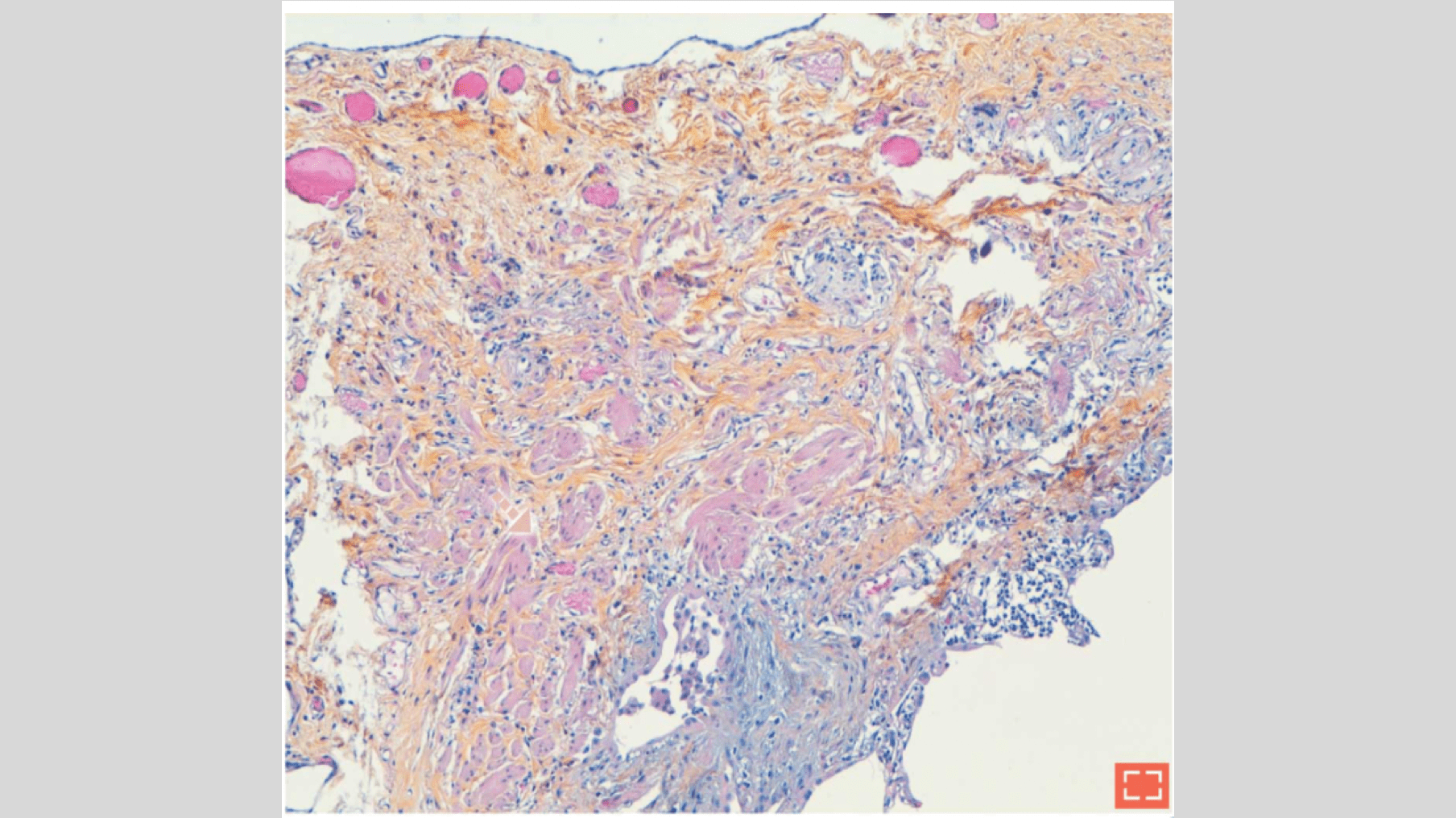
Smooth muscle hyperplasia (II)

Characteristics

  • Hyperplastic smooth muscle bundles within subpleural fibrosis

Smooth muscle hyperplasia

Smooth muscle hyperplasia
Smooth muscle hyperplasia

In This Section

In This Section
  • Patchwork pattern
  • Architectural distortion
  • Honeycomb change
  • Bronchial epithelial metaplasia
  • Fibrosis
  • Smooth muscle hyperplasia (I)
  • Smooth muscle hyperplasia (II)
  • Vascular changes
  • Fibroblast focus
  1. Home
  2. Education
  3. Imaging Atlas
  4. Smooth muscle hyperplasia (II)

Sitemap

  • Produktinformation

    • Jardiance® Opens in new tab
    • Ofev® Opens in new tab

Boehringer Ingelheim Denmark
Boehringer Ingelheim
  • TilgængelighedserklæringOpens in new tab
  • AnvendelsesvilkårOpens in new tab
  • DatabeskyttelseOpens in new tab
  • Databeskyttelse PharmacovigilanceOpens in new tab
  • Databeskyttelse for leverandører og andre interesserede parterOpens in new tab
  • KolofonOpens in new tab

Boehringer Ingelheim Denmark A/S. Weidekampsgade 14. DK-2300 København S, Danmark.

© 2010 - 2026 Boehringer Ingelheim Danmark A/S. Alle rettigheder forbeholdes.