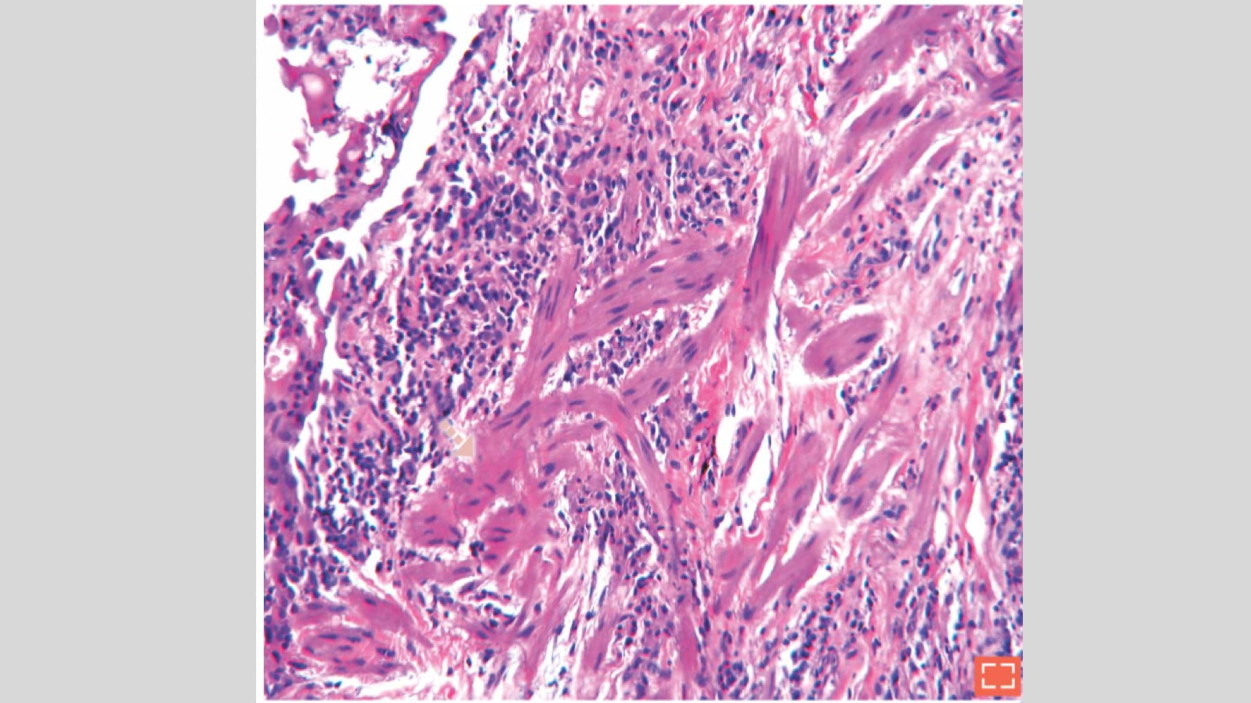
Elementary Lesions Smooth muscle hyperplasia (I) Characteristics Bundles of hyperplastic smooth muscles Synonyms: “myomatosis”, “muscular cirrhosis” Destruction of the normal alveolar structure by fibrosis “Myomatosis” Zoom BI GDS Side Navigation In This Section Patchwork pattern Architectural distortion Honeycomb change Bronchial epithelial metaplasia Fibrosis Smooth muscle hyperplasia (I) Smooth muscle hyperplasia (II) Vascular changes Fibroblast focus Home Vores lægemidler Education Imaging Atlas Smooth muscle hyperplasia (I)